Speciality:
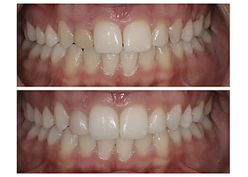
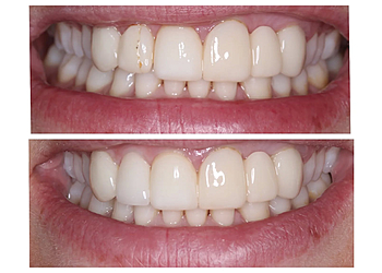
“Orchard Dental Practice is a small, family-run dental practice and comprises highly skilled and experienced dental professionals providing a full range of dental services. They are renowned for how they proactively communicate with you before, during, and after your treatments. They build relationships with their patients and treat everyone individually to ensure you get the personalised care you need. The clinic is always up-to-date with the latest techniques to deliver the best care. Their dental team helps you maintain effective oral hygiene practices to prevent tooth decay and avoid the expense and effort of dealing with cavities and gum disease.
Read more
2025 Update: James Kerwick is the practice principal. Orchard Dental Practice offers emergency dental care.”








